【賴傳媒、記者爆料網/曾厚銘/彰化報導】
62歲葉姓男子月前在工地時遭滑落的金屬桿擊中,造成左眉處擦傷及雙大腿劇烈疼痛,並伴隨腹部不適。員榮醫院急診王業亨醫師檢查後高度懷疑腸系膜出血,急診醫師隨即安排手術,幸運撿回一命。王醫師呼籲,看似外傷表淺,仍可能伴隨深層肌肉出血、腸系膜破裂、骨盆損傷或內臟挫傷,延誤治療恐影響生命安全。

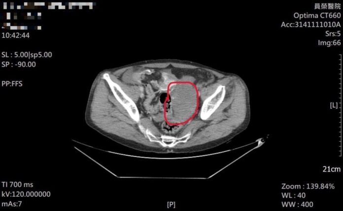
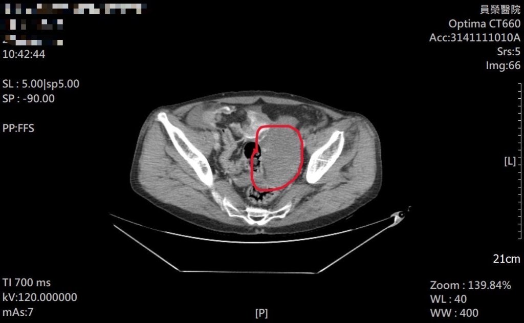
圖說:員榮王業亨醫師提醒,雖外傷輕微,也要小心有可能伴隨深層肌肉出血、腸系膜破裂及內挫傷
王業亨醫師指出,患者到院時生命徵象穩定,血壓146/90 mmHg、體溫36℃、脈搏110次/分,意識清楚,但因劇痛而呈現不適狀態。初步身體檢查顯示,左眉有表淺撕裂傷,腹部輕微壓痛,雙大腿觸痛明顯,但無骨折異常活動或骨擦傷。
由於患者「平躺時疼痛不明顯,但一站起來要去上廁所,疼痛明顯加劇」,王業亨醫師研判是內出血的重要警訊。王醫師說,值得注意的是,腹腔或骨盆腔出血有時會透過神經傳導產生轉移痛,表現為大腿劇烈疼痛,易與單純肢體外傷混淆。臨床上若出現此類「姿勢改變即疼痛惡化」的表現,應高度懷疑深層出血或內臟損傷。
員榮急診團隊立即為患者施予止痛處置並安排抽血、X光與電腦斷層檢查。雖然四肢與頭部影像未見明顯骨折線,但CTA影像顯示疑似腸系膜出血,立即啟動緊急轉診。葉姓患者說,他在醫學中心接受二次手術,在加護病房住了十多天,一共住院長達四十多天,才撿回一命。
王業亨醫師提醒,遭受外力撞擊後出現持續腹痛或逐漸加劇的不適;暈眩、冒冷汗、心跳加快等疑似內出血症狀;四肢極度疼痛、腫脹或活動受限;頭部受傷合併視線模糊、嘔吐或失去平衡,上述症狀,務必盡速就醫。
延伸閱讀:
新聞來源:賴傳媒、記者爆料網
以上新聞投稿內容由賴傳媒、記者爆料網全權自負責任,若有涉及任何違反法令、違反本網站會員條款、有侵害第三人權益之虞,將一概由賴傳媒、記者爆料網承擔法律及損害賠償之責任,與新頭條Thehubnews無關。





