記者蕭麗鳳/彰化報導
一名62歲葉姓男子月前在工地時遭滑落的金屬桿擊中,造成左眉處擦傷及雙大腿劇烈疼痛,並伴隨腹部不適。男子事後由同事送往員榮醫院急診就醫,經急診室王業亨醫師檢查後高度懷疑腸系膜出血,急診醫師隨即安排手術,幸運撿回一命。王醫師呼籲,看似外傷表淺,仍可能伴隨深層肌肉出血、腸系膜破裂、骨盆損傷或內臟挫傷,延誤治療恐影響生命安全。
王醫師指出,患者到院時生命徵象穩定,血壓146/90 mmHg、體溫36℃、脈搏110次/分,意識清楚,但因劇痛而呈現不適狀態。初步身體檢查顯示,左眉有表淺撕裂傷,腹部輕微壓痛,雙大腿觸痛明顯,但無骨折異常活動或骨擦音。
王業亨醫師指出,患者「平躺時疼痛不明顯,但一站起來要去上廁所,疼痛明顯加劇」,這是內出血的重要警訊。當患者平躺時,腹腔內血液分布較為平均,對局部組織與神經的壓迫相對較小,症狀不顯著;一但站起或走路,受重力影響,腹腔內出血會向下沉積,增加對周邊組織與神經的壓力,同時牽拉如腸系膜等富含神經的組織,才加劇疼痛。此外,起身與活動時腹部肌肉收縮、腹腔壓力上升,也可能進一步刺激腹膜,使疼痛更加明顯。值得注意的是,腹腔或骨盆腔出血有時會透過神經傳導產生轉移痛,表現為大腿劇烈疼痛,易與單純肢體外傷混淆。王醫師強調,臨床上若出現此類「姿勢改變即疼痛惡化」的表現,應高度懷疑深層出血或內臟損傷。
▲王醫師呼籲,看似外傷表淺,仍可能伴隨深層肌肉出血、腸系膜破裂、骨盆損傷或內臟挫傷,延誤治療恐影響生命安全。(圖/員榮醫院提供)
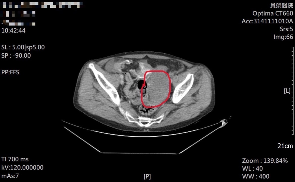
急診團隊立即為患者施予止痛處置並安排抽血、X光與電腦斷層檢查。雖然四肢與頭部影像未見明顯骨折線,但CTA影像顯示疑似腸系膜出血。王醫師評估患者年齡及既往心血管病史(含搭心臟支架、肺部手術及慢性吸菸史)等高風險因素,啟動緊急轉診。
王業亨醫師提醒,遭受外力撞擊後出現持續腹痛或逐漸加劇的不適;暈眩、冒冷汗、心跳加快等疑似內出血症狀;四肢極度疼痛、腫脹或活動受限;頭部受傷合併視線模糊、嘔吐或失去平衡,上述症狀,務必盡速就醫。
葉姓患者說,他在醫學中心接受二次手術,在加護病房住了十多天,一共住院長達四十多天,很感謝王醫師當時診斷精準,才撿回一命。













-28-100x70.jpg)
